
Matricula Provincial: 14799
Matricula Nacional: 36947
NARP: 06/20
Vos encargate de ser feliz. Nosotros de tu sonrisa

Mi nombre es Carolina Danovara, soy odontóloga egresada de la Facultad de Odontología de la UNLP en 2013, donde también realicé el posgrado en Ortodoncia. Además, formo parte del equipo de un hospital público, lo que me permite combinar la práctica clínica con el compromiso social.
Desde hace más de 5 años me especializo en ortodoncia digital, una disciplina que me apasiona y en la que cada paciente representa un nuevo desafío. Creo firmemente que cada sonrisa es única y merece un tratamiento personalizado.
Mi mayor satisfacción es acompañar a las personas en el camino hacia la sonrisa que siempre desearon, ofreciendo no solo resultados estéticos, sino también funcionales y duraderos. Será un placer ayudarte a alcanzar tus objetivos y brindarte la mejor experiencia posible en tu tratamiento.
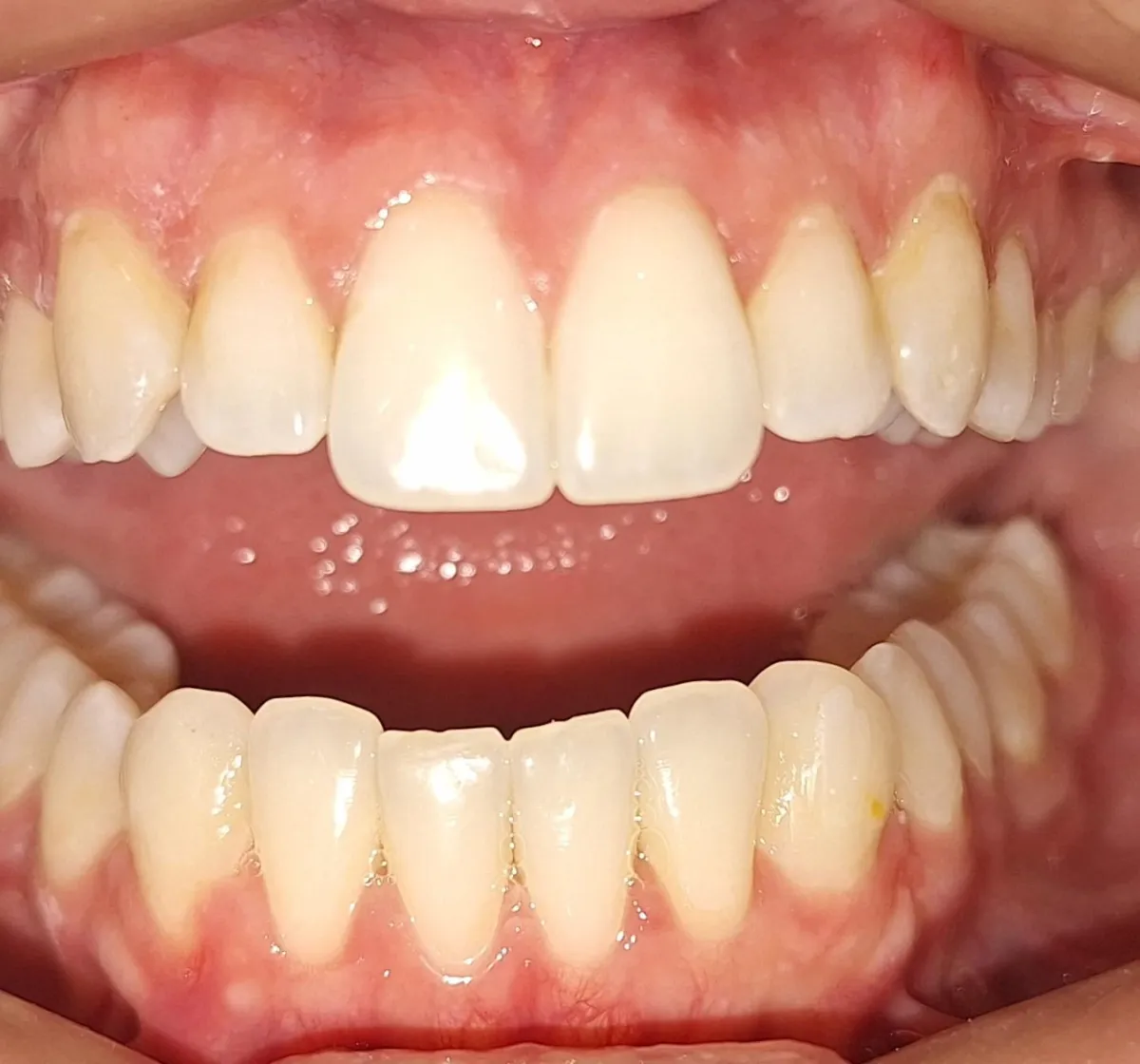
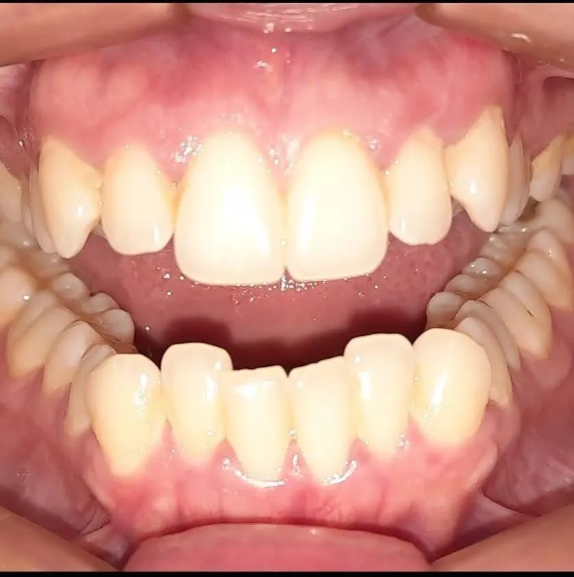
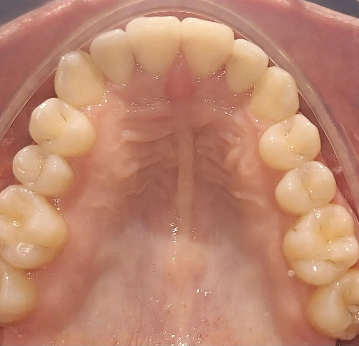
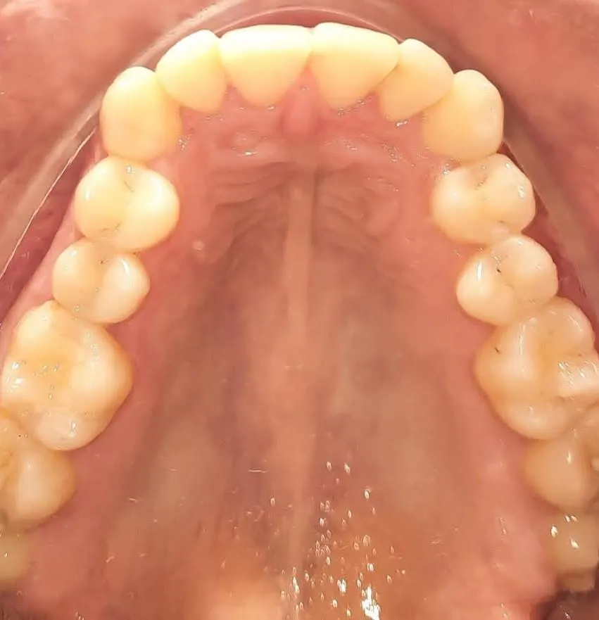
En esta primera cita evaluamos tu salud dental de forma completa, revisando la posición de tus dientes, tu mordida y el estado de tus encías. También conversamos sobre tus objetivos y resolvemos tus dudas, para que tengas claro el plan de tratamiento más adecuado para ti.
Tecnología que utiliza un escáner para crear modelos digitales 3D de tu boca. Reemplazando a las impresiones tradicionales con pastas o yeso, ofreciendo mayor comodidad y precisión.
Son placas transparentes y removibles, que se utilizan para corregir los dientes desalineados de forma discreta. Se cambian periódicamente, moviendo gradualmente y en forma controlada los dientes a la posición deseada.
Se evalúa el avance del tratamiento, generalmente cada 2 semanas, para verificar que los dientes se muevan según lo previsto.
En cada control, se entregan los siguientes juegos de alineadores para continuar con la secuencia planificada. Es fundamental cumplir con las indicaciones del profesional, incluyendo el tiempo de uso diario de los alineadores y la higiene bucal rigurosa.
Después de finalizar el tratamiento con alineadores, es necesario utilizar la contención para mantener la nueva posición de los dientes.
Se recomiendan visitas de posteriores al tratamiento para asegurar que los resultados se mantengan a largo plazo.
Los alineadores invisibles ejercen una presión suave y constante sobre los dientes, permitiendo que se desplacen de manera progresiva hacia la posición ideal. Cada pocas semanas, se reemplazan por un nuevo juego de alineadores diseñado para adaptarse a los avances logrados, garantizando así un tratamiento cómodo y eficaz.
La duración del tratamiento puede variar según la complejidad de cada caso. En la mayoría de los pacientes, el proceso suele extenderse entre 6 y 18 meses, siempre adaptándose al ritmo y las necesidades individuales para lograr los mejores resultados.
Es posible que algunos pacientes sientan una ligera molestia o presión al comenzar a utilizar un nuevo juego de alineadores. Esta sensación es completamente normal, suele ser temporal y desaparece en pocos días, indicando que el tratamiento está funcionando correctamente.
Los alineadores invisibles son altamente efectivos para corregir diversos problemas de alineación dental, como dientes torcidos, apiñados o con espacios, ofreciendo una solución estética y cómoda para mejorar la sonrisa.
Si bien es importante realizar las consultas de manera presencial, existe la posibilidad que después de 6 meses de tratamiento los chequeos se puedan hacer de manera virtual, mediante videollamada se instruye al paciente sobre como hacer el desgaste dentario para que el movimiento del alineador se vaya produciendo.
Facebook
Instagram
TikTok